Web予約

Page Top

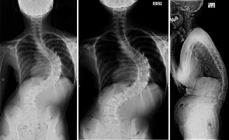
側弯症外来(背骨のゆがみ) Scoliosis

脊柱側弯症とは

脊柱は背骨(脊椎)が柱状につながったもので、正常な脊柱は前や後ろから見てほぼまっすぐです。脊柱側弯症は脊柱が横(側方)に弯曲している病気で、原因があってその治療により弯曲が戻る一時的な機能性側弯と、脊椎のねじれをともなってもとに戻らない構築性側弯に大きく分けられます。構築性側弯には原因がわかってないものがほとんどを占め、骨のねじれをともなうケースもあります。

思春期の女子の発症が多い傾向がありますが、乳幼児期、学童期の発症もあり、それぞれ異なった特徴を持っています。成長とともに進行し、成長期の終了とともに変形の進行も止まる場合が多いのですが、弯曲が大きい場合には成人になっても進行が続く可能性があります。

日本側弯症学会はこちら 

脊柱側弯症の種類

特発性側弯症

すべての脊柱側弯症のうち約80%を占める最も多い側弯症です。遺伝的な要因などの原因が考えられていますが、まだ特定はされていません。早期発症、思春期発症と発症年齢によって分けられます。最も多いのは思春期側弯症で、女子の発症が男子の5~8倍多いことが特徴になっています。診断がついた時点では進行するかしないかの予測は難しく、軽度の弯曲であっても、成人になるまでは定期的な経過観察が大切だと考えています。

その他の側弯症

神経や筋肉の病気によって発症する神経筋原性側弯症、生まれつき脊椎や助骨の変形があり発症する先天性側弯症、神経線維腫症Ⅰ型、Marfan症候群など先天的な疾患に伴って発症する症候群性側弯症などがあります。

成人脊柱側弯症

最近では、中高年期の方から、背骨の変形や姿勢の悪化に関するご相談が増えています。成人の場合は弯曲の大きさよりも、腰痛、下肢痛などの痛みの症状、背中が丸くなってしまい、長時間立っていられない、歩きはじめると体が傾いてくるなど、姿勢維持に困難を感じて来院されるケースも多くなっています。

当院の治療の特徴

1.被曝(ひばく)リスクの低減

特に成長期の側弯症患者さんでは、診察時にレントゲン撮影を行い、背骨の変形程度や治療効果を確認する必要があります。当院では、レントゲン撮影による被ばく量をできるだけ少なくするために、

Flat Panel Detector (FPD)という新しい画像システムを導入しています。

従来のレントゲン撮影装置に比べて感度が高いため、撮影時のX線照射量を最大約40-50%に減らしても十分な画像を得ることができ、撮影時間が短いため患者さんをお待たせする時間も短くなりました。

また、背骨全体が1回の撮影で評価できる機器(コニカミノルタ製 Oneshot長尺システム)を導入することで、診察1回あたりの撮影枚数も減るよう配慮しております。

設備紹介へ 

2.経験豊富な女性装具士と連携しています

骨格が未成熟なお子さんで、背骨の曲がりが進行してくる場合には、進行を抑制する目的で装具治療を行う場合があります。特発性側弯症は思春期の女子に多いため、当院では装具の作成や調整を女性装具士に依頼しています。

脊柱側弯症の装具作成を専門に行っている経験豊富な装具士に、安心してご相談いただけます。

当院で行う治療内容

まずは立位姿勢や体幹の形について丁寧に診察をおこないます。背骨の変形を確認するため、立った姿勢でレントゲン撮影を行います。

治療方針を決める際、成長期のお子さんでは骨格の成熟度が最も大切になります。骨格が未成熟で、レントゲン撮影による弯曲(Cobb角)が20度以上あり、弯曲の進行が予測される場合は早期に治療が必要です。

また診断がついた時点では、進行を正確に予測することが難しいため、角度が小さくても期間をあけて定期的にチェックすることをお勧めしています。

装具治療

骨格が未成熟な患者さんに、脊柱側弯症の進行を抑える目的で行う治療法です。

装具治療が成功するためには、以下の3つのことがらが大切です。

  1. 正確な装具を作成すること。
  2. 正しい方法で装着すること。
  3. 装具装着が確実に習慣化すること

当院では、わきの下から下腹部までを覆う装具(アンダーアームブレース)を採用しています。装着時間については、日中の学校生活を制限しないこと、運動する機会を減らさないことを重視し、夜間だけの装着(ナイトブレース)を基本としています。低年齢などで側弯症の急速な進行が予測される場合は、自宅にいる時間は装具を装着するなど、装着時間を延ばす工夫をしています。

また、成長期に使用する装具のため、作成から時間が経つと体型が変化して装具が合わなくなってくる場合があります。そのため、医師と装具士が密に連携し、装具のフィッティングなどにも細かく配慮しながら調整しています。

手術が必要な場合

手術の治療方針は、弯曲の角度だけで決まるわけではありません。しかし、一定以上の角度が成長終了後に残った場合(45度~50度以上と考えています)、弯曲の進行は成人後ゆるやかになりますが、停止せず徐々に進行する可能性があります。若年の患者さんでは、人生のどこかの時点で、進行を阻止するための手術治療が必要となる場合があり、学業やお仕事など人生設計も含めたご相談が必要となります。

手術の相談が必要となった場合は、治療実績の多い専門病院に当院での経過を踏まえてご紹介いたします。手術後の受診やリハビリテーションは当院でもお引き受けいたします。